電子顕微鏡で見る”木材1年間の歩み”
ー木という材料をどう理解すればいいのかー
2004年4月18日
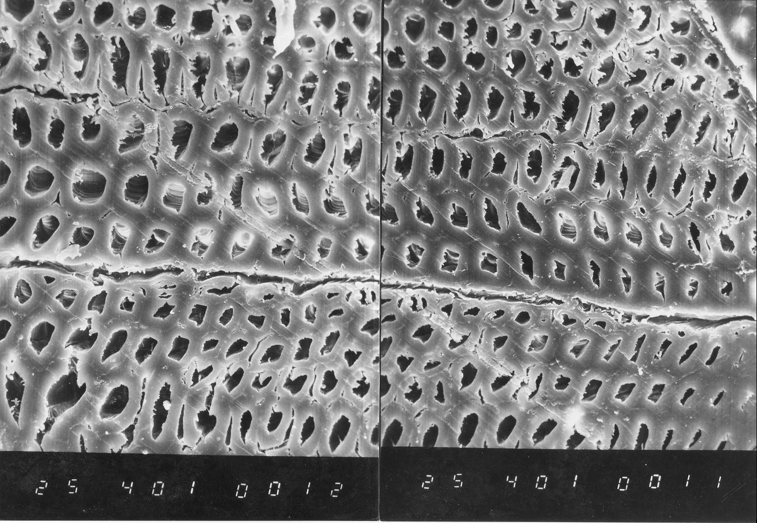
 提示用の木材(スギ)の電子顕微鏡の連続写真です。例えば下の写真を全てA4サイズで印刷し、並べると黒板一杯になります。しかも全部合わせても1年間の成長分なのです。説明なしで写真を見ると、何だろうと思う。でもその写真が何なのか分かれば、生徒達からも驚きの声が上がるでしょう。

1,連続写真を通しての木材への思い

  木が生きていることを一つの年輪を通して生徒にイメージさせたい。→環境教育

 木材は、木の生命活動の証であり、一年間の生命活動が年輪となってあらわれている。人間(生徒)が毎年大きく成長するように、木も細胞分裂を繰り返している。
 暖かくなると、葉を茂らせ花を咲かせるために大きな細胞に大量の栄養や水分を通わせ、寒くなってきたら、葉を落としたりして動物が冬眠するかのように活動を抑え、凍らないように細胞壁を厚くして暖かい日がくるのをじっとまっている。なんとすばらしいことだろう。
 季節による成長の変化が年輪となってあらわれることはわかりきっているが、この写真のように、1年間の細胞分裂の様子をじっくりみてみると、その変化の大きさに驚かずにいられない。この写真を通して、生徒たちに「木も人も地球上に生きる仲間なんだ」 と感じてほしいものです。


全部で34枚の写真をつなげたところ ※下の写真を縮小してつなげています

各写真画像  ※若干欠番があります。ご容赦ください
→一括ダウンロードはこちら!(8MB)

wood01.jpg

wood02.jpg

wood03.jpg

wood04.jpg

wood01 505 KB

wood02 473 KB

wood03 489 KB

wood04 552 KB

wood05.jpg

wood06.jpg

wood07.jpg

wood08.jpg

wood05 553 KB

wood06 460 KB

wood07 534 KB

wood08 481 KB

wood09.jpg

wood10.jpg

wood11.jpg

wood12.jpg

wood09 437 KB

wood10 496 KB

wood11 422 KB

wood12 436 KB

wood13.jpg

wood14.jpg

wood15.jpg

wood16.jpg

wood13 441 KB

wood14 421 KB

wood15 428 KB

wood16 423 KB

wood17.jpg

wood17 509 KB


2,電子顕微鏡写真の活用方法
  電子顕微鏡写真の活用は、先生たちの自由な発想で使って欲しいと思います。Web上の写真を 実際に印刷してみてください。印刷してみると、それぞれの先生独自の活用方法が浮かんでくると思います。

(1)細胞の連続写真から考える
 最初、写真を一枚ずつ並べながら、「これはなんの写真やと思う」と質問する。
 「細胞」←こんな答えが出たら「なんの?」「どの部分やろ?」などと聞き返したりするが、わからなくてもよいと思う。気がついたことを発表させたい。
 いろいろ意見は出ると思うが、細胞の空洞の大きさや細胞壁の厚さの変化に気付かせること、年輪の区切りとなる大きな変化があること、段ボールのような構造をしていることなどに気付かせたい。必要に応じて、以下のような質問をしてもよい。
 「あなぼこの大きさはどうなってる?」←細胞と言わず、あなぼこ
 「こんなあなぼこ見たことない?何かに似てない?」
 この写真はインパクトはあるが、大きすぎて一般的な年輪との関係がわかりにくい場合がある。教師は年輪を知っているからイメージしやすいが、生徒にはイメージしにくいことも考えられる。そのため、私は写真の後で、細胞をたくさん並べて木材を描くことにしている。もちろん、細胞の大きさや細胞壁の厚さに変化をつけ、年輪がわかるように描くのである。

(2)段ボールのような構造から考える。
 木材を実際の部材として利用するときに、どう使ったらよいのか。木材を使うときの方向性や木口のことなど段ボールを使って説明する。最初の写真によって、木材の断面が段ボールと似ていることから、木が割れやすい方向(おれやすい方向)と段ボールが折れやすい方向が一致していることを、実際の木と段ボールを折って確かめる。
 また、木口面に釘を打っても抜けやすいことが、段ボール構造から想像できるので、木口とこばにくぎを打って実際に確かめることも必要だが、段ボールを使ってイメージさせることを考えてもよいだろう。
 さらに、最近扱うことはほとんどなくなったが、木材の塗装の前にとの粉で目止めをすることも、あなぼこを意識させておけば納得できることである。

3,その他
 この年輪写真は、20年以上も前に、私の出身校である静岡大学の今山先生にお願いしてとっていただいたものです。一部欠損しているのが残念なのですが、どなたか、あたらしく、このような写真を撮っていただけないでしょうか?
 この写真では、片方の年輪(左端の区切れ)は写っているのですが、次の年輪(右端)が写っていないので、年輪が幾重にもなっていると考えにくいのです。やはり、年輪から年輪まで、その区切りがわかる写真がよいと思います


投稿者:三重県 津市立西郊中学校 小菅治彦

戻る